Home
Profissionais
O Que Fazemos
Seu Novo Sorriso
Nossos Casos
Clínicas
Blog
Contato
Home
Profissionais
O Que Fazemos
Seu Novo Sorriso
Nossos Casos
Clínicas
Blog
Contato
Casos Reais
Vida Nova
Agende sua avaliação
Nossos Clientes São Feras
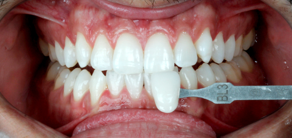
Clareamento Dental
João Pedro
Realizado clareamento dental completo.
Benefícios
que vão além
da estética
Agende sua avaliação
Antes
Depois
Agendar Avaliação
Aguarde..
Fechar
Este site utiliza cookies para melhorar sua experiência de navegação. Ao continuar, você concorda com a nossa
política de privacidade
.
Concordar e Fechar